| |
|
April 9, 2007
Port Townsend , WA
A Sunny Hello from Port Townsend, WA!!!
Life plays strange tricks as one travels in what seems to be a circle. April 1st, 2007, found us returning to Port Townsend, which we had left on April 1st, 2006! What a difference a year makes…we had the joy of traveling to Alaska and through British Columbia while meeting wonderful folks and we survived another winter in the Pacific Northwest. Hopefully in several weeks, we’ll be heading west in the Strait of Juan de Fuca on our way north (and then south.)
I’m amazed when I realize that it’s been almost four months since the log was last updated. Writing this I’m relaxing in a small, furnished cottage with a bathtub (!) and a fireplace because the boat is on the hard at BoatHaven in Port Townsend undergoing repairs and maintenance. Needless to say, life has been “blind-date interesting” since we last communicated. Long story short: The heat went out a few weeks after Gary had his surgery in January and we weren’t able to use it. There was also a problem with the shore power outlet limiting electrical use, so it got cold on the boat. Unfortunately we couldn’t get anything fixed until the end of March when Fleet Marine’s lift would be operational due to the harbor renovations.
Convalescing on a cold boat is no one’s idea of fun, especially Gary’s, so we moved into the Murphy House Bed & Breakfast in Poulsbo in March. What a joy to meet the Paxhias who own Murphy House, they treated us like family and we quickly became friends with Hiromi, Michael, Nicoletta, and their dog, Lucy. We had a lovely room, a kitchenette (with a freezer for ice cream!) a living room with fireplace, and laundry available. We also enjoyed sampling Michael’s delicious cooking several times; talk about being spoiled! Hiromi’s warm personality made everyday bright and pleasant. The only drawback to living at the Murphy House was that Murray the Cat couldn’t come with us, so he spent the month on the boat with daily visits from his people. Fortunately, he’s very adaptable and became comfortable with the idea of being “in charge” of the boat while we were luxuriating on shore. Finally the call came from Fleet saying the lift was ready and that we could “come on down!”
April 1st was a calm day as we left Poulsbo with our friend, Bill, for the 7-hour trip to Point Hudson. Bill’s old boat, Cassiar, HC4406, now renamed Blew By You, was also heading north the same day so we motored along with her and watched her drop anchor off downtown Port Townsend. It was a unique experience being able to cruise with a sister ship.
It really did feel a little ironic to be pulling into an empty marina (it’s been undergoing renovation since Oct. 2006) that we left exactly one year ago. We quickly got tied up to the dock and met Bill’s wife, Masuko, who had driven up from Bainbridge Island. Together we loaded our stuff for life on land for a couple months into their car and drove to our “new home”, Ann’s Wisteria Cottage at the Ann Starrett Mansion. Of course, Murray came with us too! We feel very fortunate to have such wonderful, caring friends and will miss our weekly Friday night dinner with them in at T & N Pho in Poulsbo.
Monday morning found us back at the boat getting ready to be hauled out at Fleet Marine. Unfortunately, she was too large for their lift and we had to move the boat to BoatHaven for our haul out. Work has begun on the electrical and heat systems as well as having the prop refurbished. Hopefully by the next log, we’ll be back in the water and underway.
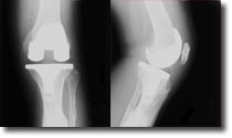
Now, let’s go backwards to bring you up to date on other parts of our cruisin’ life. January 26th Gary had total knee replacement surgery at Harrison Hospital in Bremerton spending four days in the hospital before transferring to Martha & Mary Health Center in Poulsbo for rehabilitation. His surgery went very well and he was soon walking down the halls at Martha and Mary with only a cane. In less than two weeks after his surgery he was home. We were amazed at how quickly he was able to maneuver on the boat. Dr. Brad Watters was his surgeon and is well known in this area for his expertise and use of technology, Gary was able to get all his X-rays on CD, and so he decided to include this picture of his new knee.
Before leaving Poulsbo we visited the Bloedel Reserve on Bainbridge Island with Bill & Masuko. What a wonderful spot! Spring was just beginning to show her colors and we were treated to a lovely afternoon with friends in a gorgeous location.
 
May 18, 2007
Hopefully this log will make it to the internet within hours of finishing this chapter....
Life progresses as work is slowly being done on the boat; current plan is to splash on Friday, May 25th and spend a week checking out systems and doing some sea trials before taking off for the Pacific. Gary’s knee is doing great and we are both enjoying the opportunity to walk longer distances together.
March found me flying to North Carolina to spend a long weekend with my daughter and sister. We had a pleasant time exploring the beach (it was little cool, but sunny!) and visiting small towns. Highlights of the weekend included the Cypress Grill which is only open 5 months a year when the herring are running and I sampled this local delicacy; Kate got to see buffalo in Durham, NC. The best part was being able to spend time with Kate & Diane with nothing special to do! We had a great time and hope to make it a yearly event but in a different locale.
I spent a month in Michigan helping my 84-year-old dad after total knee replacement surgery on April 17th and taking care of family matters back there. I also had the opportunity to do my first “competitive” walk in the Lansing Komen Race for the Cure on April 29 th with Kate & Nan. It was fun walking with them and 5400 other people raising money to combat breast cancer. As I’ve mentioned in logs before, one of the most difficult parts of our cruisin’ life for me is being away from family and friends in Michigan. Even though I was able be with my folks, Gary’s mom, Kate & Damon, and other friends, it was not fun being away from Gary & Murray for a month…sort of a bittersweet experience whichever way one looks at it. My mom went into the hospital two days before I was scheduled to return to WA and I extended my stay for another week to make sure everyone was healthy before getting on the plane. Gary made the 2 ½ hour trip from Port Townsend to SEATAC to meet me and it was wonderful getting that first hug & kiss after a long absence!
He explored Port Townsend, walking and photographing the town while I was in Michigan. (I think he checked out a few restaurants too so he didn’t have to cook!) He also attended the monthly meeting of the Port Townsend Photography Club and met some kindred souls. Marketing his photographs continues to interest him, but he is still having difficulty with the logistics of selling, printing, and shipping. He says he’s smiling much more now that I’m back in town and the sun is shining!
Living on land for the past two months has prompted us to look at long-range plans and think about what we would like to do after spending this winter in Mexico. It has been pleasurable living in a small town where Gary can walk two blocks to the bakery and pick up fresh chocolate croissants for breakfast as well as participating in the day-to-day activities like learning about the resident Orcas from Howard Garrett of the Orca Network at the Admiralty Audubon Society meeting, and watching the Rhody Festival Pet Parade uptown. We still like the crusin’ life, but the day we step back on shore may come sooner than later. When we started this chapter of our lives, we made a three year commitment to ourselves to live on the boat for that long and are thrilled to have had many once-in-a-lifetime experiences; we’ve each grown as a result of those encounters and are looking forward to other challenges and opportunities. That doesn’t mean that SV Wand’rin Star is for sale, just that one’s perspectives change as the view varies.
We recently had the opportunity to meet the owner of Highland Rose as she was in the boat yard during SV Wand’rin Star’s stay. Jack was gracious and invited us aboard so we could compare the two boats; we were amazed at how much the layout is similar to ours with some changes in the heads and aft stateroom. Gary continues to work on the Boat Info page and we have found that to be one of the most often visited pages on our website.
It’s time to head off to the Rhody Festival’s Grand Parade in uptown Port Townsend so I’ll hit the Save button and put this section of the log to bed. Hopefully the next issue will have more water-based cruisin' stories. We send wishes for a bright & wondrous spring.
Fondly,
Dorothy, Gary & Murray the Cat
© Copyright 2007
Last updated on
May 23, 2007
|
|
|